Secuelas de la Covid-19: ¿qué hay de cierto sobre la fibrosis pulmonar?. por Claudia Alemañy Castilla

El SARS-CoV-2 es un virus nuevo, en pleno apogeo pandémico, sobre el cual los médicos y microbiólogos todavía investigan en profundidad. Este es un detalle que algunos parecen olvidar con frecuencia e, incluso, hay quienes no comprenden que la ciencia todavía tiene muchas incertidumbres acerca el nuevo coronavirus.

Los síntomas y complicaciones asociadas a la enfermedad son algunos de los aspectos más controversiales. Desde los primeros meses, la Organización Mundial de la Salud (OMS) reflejó los padecimientos generales asociados al contagio. Fiebre, tos, dificultad al respirar, congestión nasal y dolores musculares fueron siempre los más comunes. Luego se identificaron otros como esputos, dolores de garganta, rinorrea y hasta cuadros de diarrea aguda.
No obstante, también se han descrito otros. Por ejemplo, en el campo de la Neurología se han detectado trastornos del olfato y el gusto, ya que el virus llega al sistema nervioso central desde las terminaciones nerviosas vinculadas a estos sentidos, pero también situaciones más complicadas como accidentes cerebrovasculares, ataxia o epilepsia. Desde la cardiología también se refieren complicaciones como daño miocárdico agudo e insuficiencia cardiaca, con ausencia de fiebre y otros síntomas comunes del padecimiento.

Durante las últimas jornadas, otro tema ha captado la atención de medios de prensa. En dependencia del tipo de medio, se ha llegado a anunciar que entre un 20 y un 50 por ciento de los pacientes que sobrepasan el SARS-CoV-2, tienen riesgo de desarrollar fibrosis pulmonar. Pero, ¿qué hay de cierto en esa afirmación?
Inexactitudes y otros demonios informativos

Un estudio publicado el pasado 13 de marzo en Journal of the American Medical Association y registrado en la biblioteca virtual PubMed, asevera que, de 201 pacientes internos en el Hospital Jinyitan de Wuhan, 84 desarrollaron síndrome de dificultad respiratoria aguda (SDRA). A partir de este análisis y otras investigaciones, la comunidad científica ha llegado a congeniar que entre el 20 y poco más del 40 por ciento de los casos de Covid-19 se ven afectados por esta complicación.

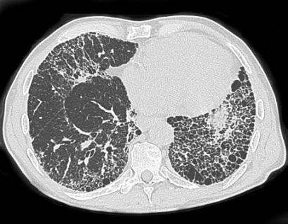
La fibrosis pulmonar es una afección, potencialmente aguda, que impide la llegada de suficiente oxígeno a los pulmones y a la sangre. Entre las causas potenciales que provocan su aparición se encuentra la neumonía, una complicación que incluso puede aparecer en casos que no evolucionan al estado de gravedad por SARS-CoV-2.

Los pacientes que desarrollan SDRA también se enfrentan a la aparición de otras dificultades. Algunas de ellas son la aparición de insuficiencia de múltiples sistemas de órganos, neumotórax — complicación asociada frecuentemente a la ventilación mecánica — y fibrosis pulmonar.

Según esta referencia, los titulares antes mencionados no resultan tan descabellados. El problema real es que muchos de ellos también han referido que, en esos enfermos de Covid-19, el padecimiento de fibrosis se vuelve progresivo y aumenta tanto que gradualmente daña la función pulmonar.

Esto, además de no ser validado mediante citas de artículos científicos, es un serio error. La duda ha crecido tanto que la Fundación contra la Fibrosis Pulmonar y la Sociedad Estadounidense del Pulmón tuvieron que hacer declaraciones al respecto.

De acuerdo con ambas organizaciones no gubernamentales, muchas de las personas que sobreviven al SDRA provocado por el nuevo coronavirus, desarrollan cicatrización. Pero el término correcto para usar en este caso es fibrosis pulmonar idiopática, que significa de causa desconocida. De forma general, la afección pulmonar puede deberse, probablemente, a la respuesta inflamatoria ante una lesión o sustancia no identificada.

Los pocos estudios realizados a pacientes que sobrepasan la Covid-19 y presentan fibrosis posterior al síndrome de dificultad respiratoria aguda, sugieren que la dificultad no es progresiva. Esto significa que la cicatrización no continúa con el tiempo. No obstante, es cierto que su recuperación es larga, ya que, en los enfermos más complicados, puede durar aproximadamente un año. Y aunque puede haber casos graves y discapacitantes, generalmente los pacientes logran sobrepasar la dificultad sin complicaciones.

Pero, ¿por qué hay tantos medios de prensa que afirman lo contrario? El problema radica en las distinciones y en la necesidad de usar los términos y conceptos correctos.

Muchos de ellos han confundido la fibrosis pulmonar idiopática con la Enfermedad pulmonar intersticial (EPI). Según la Sociedad Estadounidense del Pulmón, este término abarca un gran grupo de enfermedades que causan cicatrización en los pulmones y, al igual que la idiopática, provoca rigidez en esos órganos, lo cual dificulta la respiración y el suministro de oxígeno al torrente sanguíneo.

La mayor parte del tiempo esta afección es irreversible y empeora tanto con el tiempo, que muchos casos requieren trasplantes como solución definitiva a esta afección.

De acuerdo con declaraciones de la Fundación contra la Fibrosis Pulmonar, las características de la fibrosis presentada por pacientes que sufrieron SDRA luego de contraer Covid-19 son distintas a las de aquellos que presentan los pacientes con EPI. Por ello, es imprescindible no confundirlas.

Al mismo tiempo, la OMS y el Centro de Control y Prevención de Enfermedades, hasta el momento de publicación de este artículo, no han incluido a la fibrosis pulmonar idiopática entre las secuelas del nuevo coronavirus. ¿La razón? Las entidades refieren que la latencia de esta complicación es baja y, a su vez, se presenta en casos con SDRA, los cuales todavía son muy pocos en correspondencia con la cifra global de pacientes que enfrentan al SARS-CoV-2.

La duda razonable
Otro factor a tener en cuenta es que, aunque los últimos meses han parecido eternos debido a las medidas de aislamiento social, el virus en cuestión mutó y afectó a humanos hace menos de un semestre. Aunque la comunidad científica ha aunado esfuerzos y muchas editoriales han puesto la información académica relacionada con la COVID-19 a libre acceso, la inmediatez con que todo ocurre provoca que sea necesario dejar un cierto margen a la incertidumbre.

Para disminuir los riesgos de contagio y debido a la tasa de mortalidad alcanzada en algunas regiones, la mayoría de los pacientes fallecidos no tienen una necropsia. Ante esta circunstancia, los investigadores se enfrentan ante el sesgo de no estar detectando todas las complicaciones que se presentan en los casos más graves asociados a la enfermedad.

Por ello, se hace cada vez más urgente cumplir con las medidas recomendadas, especialmente el aislamiento social y el lavado de manos. Cuando el número de enfermos se reduce, también contribuimos a que los especialistas en los centros médicos tengan mayor disponibilidad de recursos para garantizar la salud de los hospitalizados y que la ciencia pueda indagar mejor sobre las consecuencias de este peligroso virus.

Written by

Claudia Alemañy Castilla

 

Misceláneas